Nos traitements orthodontiques

Les éducateurs fonctionnels
Les éducateurs fonctionnels sont des appareils souples et amovibles...

L’orthodontie digitale
L’empreinte numérique est une méthode moderne et confortable...

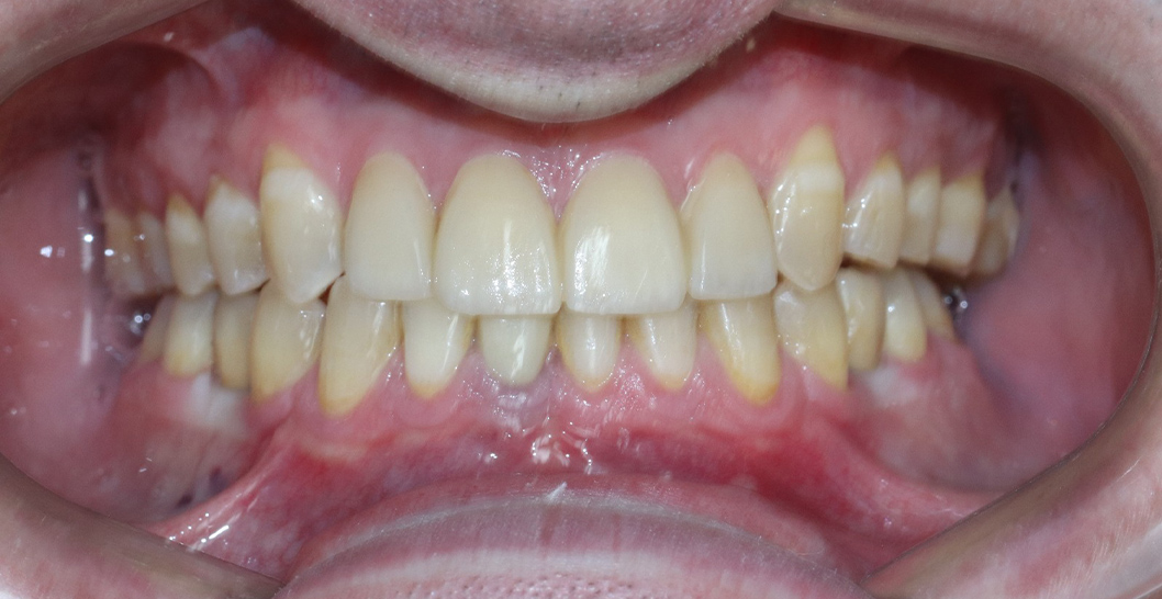
L’orthodontie vestibulaire
Les attaches fixes sont collées sur la face externe (vestibulaire)...

La contention
Une fois le traitement terminé et les dents bien alignées...

Les mini-vis d’ancrage
Les mini-vis d’ancrage, aussi appelés mini-vis orthodontiques...
Prenez rendez-vous avec Dr Rochdi Gargouri
Adresse : Lac medical center lac 2, cabinet 8-3 7ièm étage CP 1053
Tunis, Tunisia
Tél. : +216 25 823 004 +216 70 296 800
E-mail : contact@rochdigargouri.com
Notre expertise en orthodontie :
Dr Rochdi Gargouri
- Juin 2022 : Master DAMON (Madrid Espagne).
- Décembre 2019 : Création de la société WELIGN qui fabrique les traitements orthodontiques avec les gouttières transparentes.
- Octobre 2015 : Certification en technique d’orthodontie linguale à frankfurt, ALLEMAGNE (bracket WIN de Wiechmann).
- Décembre 2012 : Certification en technique d’orthodontie invisible INVISALIGN, à bordeaux, France.
- Juin 2011 : Diplôme universitaire en orthodontie (DUO) à bordeaux ; sujet de mémoire : « incidences des thérapeutiques des malocclusions de classe II, avec ou sans extraction, sur les voies aériennes supérieures ».
- Avril 2008 : Diplôme de docteur en médecine dentaire (faculté de médecine dentaire de Monastir, Tunisie) ; sujet de thèse « les techniques de laboratoires utilisées en orthodontie linguale »
- Juin 2000 : Baccalauréat mathématique (lycée 9 avril Sfax, Tunisie).
La confiance de nos patients
Cette confiance se construit jour après jour grâce à la qualité des soins,
au suivi rigoureux et à l’attention portée à chaque patient tout au long de son parcours.


Voulez-vous visiter notre cabinet ?
Prenez votre premier rendez-vous et découvrez un cabinet moderne, équipé des dernières technologies orthodontiques, pensé pour votre confort et votre sérénité.
Dr Rochdi Gargouri prendra le temps d’évaluer votre situation, de répondre à toutes vos questions et de vous proposer un plan de traitement personnalisé, adapté à vos besoins et à votre mode de vie.


