

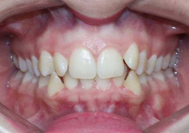
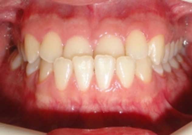
Encombrement dentaire
L’encombrement dentaire est une anomalie dento-alvéolaire caractérisée par un déséquilibre entre la taille des dents et la longueur de l’arcade dentaire, entraînant un manque d’espace pour l’alignement correct des dents...


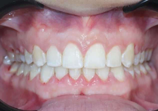
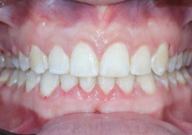
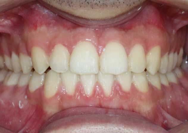
Supraclusion
La supraclusion est définie comme le recouvrement excessif des incisives mandibulaires (inférieures) par les incisives maxillaires (supérieures).
Cliniquement, cela signifie qu’au sourire...


Diastème maxillaire
En orthodontie, le diastème désigne un espace anormal entre deux dents, le plus souvent entre les deux incisives centrales supérieures (les deux dents de devant)...


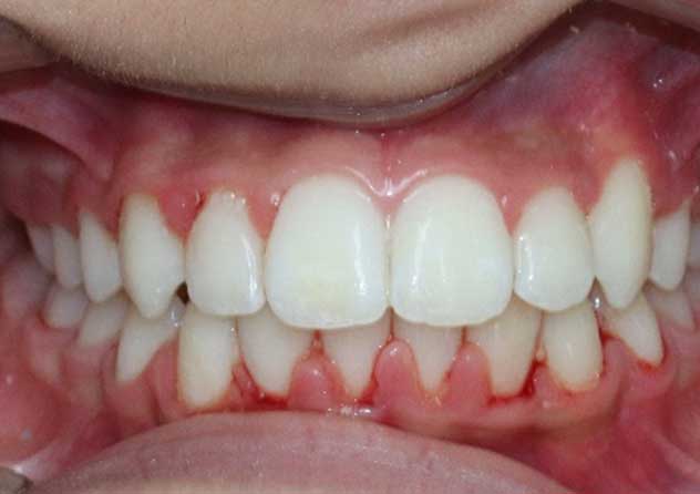
Cross bite antérieur et postérieur droit
Le cross-bite antérieur (ou articulé croisé antérieur) est une anomalie d’occlusion dans laquelle une ou plusieurs dents du maxillaire se retrouvent...


Canine ectopique
Une canine maxillaire ectopique est une canine supérieure qui n’a pas fait éruption à sa place normale et qui se retrouve déviée, souvent palatine...


Classe II sans extraction
En orthodontie, la Classe II est une malocclusion dans laquelle l’arcade supérieure est trop en avant par rapport à l’arcade inférieure...


Béance antérieure
En orthodontie, une béance antérieure est une malocclusion caractérisée par l’absence de contact entre les incisives supérieures et inférieures...


Cas complexe avec canines maxillaire
La combinaison de ces anomalies rend le traitement orthodontique plus délicat, nécessitant une planification précise et des mécanismes ciblés...
Voulez-vous visiter notre cabinet ?
Prenez votre premier rendez-vous et découvrez un cabinet moderne, équipé des dernières technologies orthodontiques, pensé pour votre confort et votre sérénité.
Dr Rochdi Gargouri prendra le temps d’évaluer votre situation, de répondre à toutes vos questions et de vous proposer un plan de traitement personnalisé, adapté à vos besoins et à votre mode de vie.
