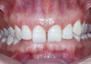
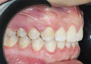
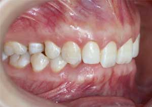
La supraclusion est définie comme le recouvrement excessif des incisives mandibulaires (inférieures) par les incisives maxillaires (supérieures).
Cliniquement, cela signifie qu’au sourire, le patient ne laisse pas apparaître les dents inférieures.
Il s’agit d’un problème de dimension verticale, fréquemment rencontré en pratique orthodontique quotidienne.

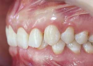
Le traitement de la supraclusion : Le traitement de la supraclusion repose avant tout sur un diagnostic précis, permettant de déterminer son origine dento-alvéolaire, squelettique ou mixte, ainsi que l’âge du patient.

Les objectifs principaux sont de réduire le recouvrement incisif, de rétablir une dimension verticale équilibrée et d’assurer une fonction occlusale stable.

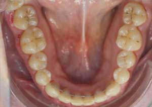
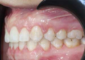
Avant

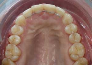
Après

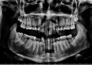
Radiographie

Radiographie avant

Radiographie après

Découvrez nos cas cliniques

Avant
Après

Diastème maxillaire

En orthodontie, le diastème désigne un espace anormal entre deux dents, le plus souvent entre les deux incisives centrales supérieures (les deux dents de devant)...

Avant
Après

Cross bite antérieur et postérieur droit

Le cross-bite antérieur (ou articulé croisé antérieur) est une anomalie d’occlusion dans laquelle une ou plusieurs dents du maxillaire se retrouvent...

Voulez-vous visiter notre cabinet ?

Prenez votre premier rendez-vous et découvrez un cabinet moderne, équipé des dernières technologies orthodontiques, pensé pour votre confort et votre sérénité.

Dr Rochdi Gargouri prendra le temps d’évaluer votre situation, de répondre à toutes vos questions et de vous proposer un plan de traitement personnalisé, adapté à vos besoins et à votre mode de vie.