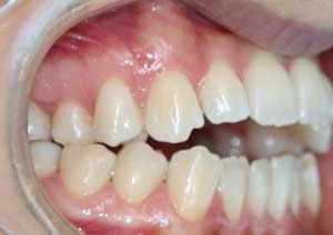
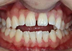
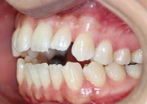
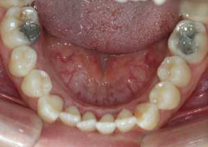
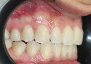
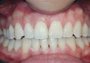
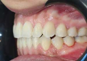
En orthodontie, une béance antérieure est une malocclusion caractérisée par l’absence de contact entre les incisives supérieures et inférieures lorsqu’on ferme les dents.
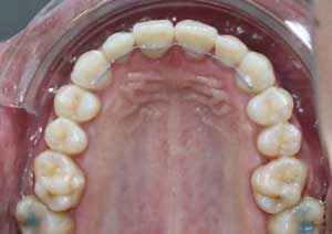
Traitement : Une ingression des molaires maxillaires avec une égression contrôlée du secteur antérieur a été réalisée à l’aide des arcs dits “Rocking Chair”, associés à des élastiques antérieurs portés de canine à canine, à droite et à gauche.
Cette mécanique permet de corriger la béance antérieure tout en conservant un contrôle précis de la position des dents antérieures et postérieures.
Avant





Après





Découvrez nos cas cliniques


Diastème maxillaire
En orthodontie, le diastème désigne un espace anormal entre deux dents, le plus souvent entre les deux incisives centrales supérieures (les deux dents de devant)...


Cross bite antérieur et postérieur droit
Le cross-bite antérieur (ou articulé croisé antérieur) est une anomalie d’occlusion dans laquelle une ou plusieurs dents du maxillaire se retrouvent...
Voulez-vous visiter notre cabinet ?
Prenez votre premier rendez-vous et découvrez un cabinet moderne, équipé des dernières technologies orthodontiques, pensé pour votre confort et votre sérénité.
Dr Rochdi Gargouri prendra le temps d’évaluer votre situation, de répondre à toutes vos questions et de vous proposer un plan de traitement personnalisé, adapté à vos besoins et à votre mode de vie.
