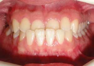
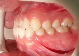
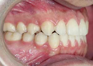
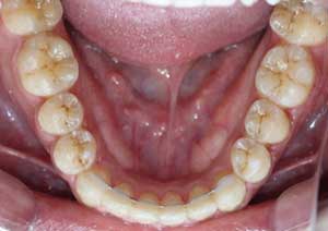
Le cross-bite antérieur (ou articulé croisé antérieur) est une anomalie d’occlusion dans laquelle une ou plusieurs dents du maxillaire se retrouvent en arrière des dents mandibulaires, alors qu’elles devraient être en avant.
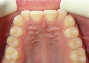
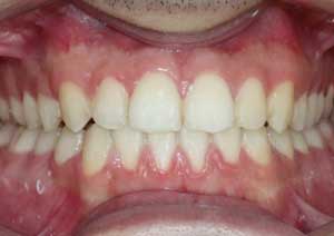
Traitement : Dans ce cas, nous avons eu recours à la mise en place de cales postérieures en résine bleue au niveau des premières molaires maxillaires, Elles ont permis de séparer temporairement les mâchoires afin de laisser les dents du haut se replacer correctement devant celles du bas, corrigeant ainsi le cross-bite antérieur.
Par la suite, ces cales ont été déplacées sur les faces palatines des incisives maxillaires dans le but d’optimiser l’articulé postérieur, notamment au niveau des molaires droites, qui présentaient également un articulé inversé.
Avant





Après





Découvrez nos cas cliniques


Canine ectopique
Une canine maxillaire ectopique est une canine supérieure qui n’a pas fait éruption à sa place normale et qui se retrouve déviée, souvent palatine...


Classe II sans extraction
En orthodontie, la Classe II est une malocclusion dans laquelle l’arcade supérieure est trop en avant par rapport à l’arcade inférieure...
Voulez-vous visiter notre cabinet ?
Prenez votre premier rendez-vous et découvrez un cabinet moderne, équipé des dernières technologies orthodontiques, pensé pour votre confort et votre sérénité.
Dr Rochdi Gargouri prendra le temps d’évaluer votre situation, de répondre à toutes vos questions et de vous proposer un plan de traitement personnalisé, adapté à vos besoins et à votre mode de vie.
