
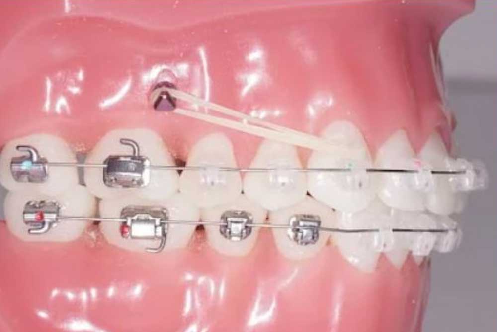
Les mini-vis d’ancrage, aussi appelés mini-vis orthodontiques, sont de petits dispositifs en titane placés temporairement dans l’os de la mâchoire pour aider à déplacer certaines dents avec plus de précision.
Ils servent de point d’appui stable, permettant de réaliser des mouvements dentaires complexes sans influencer les autres dents.
L’intervention est rapide, indolore et réalisée sous anesthésie locale au cabinet.
Une fois les déplacements terminés, ces mini-vis sont retirées facilement, sans douleur ni cicatrice.
Découvrez nos services

L’orthodontie vestibulaire

Appareils numériques

La contention

Les éducateurs fonctionnels
Voulez-vous visiter notre cabinet ?
Prenez votre premier rendez-vous et découvrez un cabinet moderne, équipé des dernières technologies orthodontiques, pensé pour votre confort et votre sérénité.
Dr Rochdi Gargouri prendra le temps d’évaluer votre situation, de répondre à toutes vos questions et de vous proposer un plan de traitement personnalisé, adapté à vos besoins et à votre mode de vie.
